インプラントは両隣の歯を削ることがないので、健康な歯へ負担をかけることはありません。顎の骨には自然の歯と同じように刺激が伝わり、力をかけることができるため、顎骨の吸収も少なくなるといわれています。また、義歯は顎の骨に固定されるので取り外す必要がなく、力を入れて噛むことが可能です。食感も天然歯に近く、食べる楽しみを取り戻せます。

前歯の部分に4本のインプラントを顎の骨に埋め込み、その4本のインプラントで12本分の歯を作ることができます。
オール・オン・フォーは最短当日で噛めるようになる画期的な治療法です。
1. ほとんどの方に手術ができます
オール・オン・フォーは前歯部あたりにインプラントを埋め込みます。前歯周辺は骨が多くあるのでほとんどの方に治療をすることが出来ます。
2. 手術の負担が軽減されます。
サイナスリフトや神経の移動手術をしなくても良いので手術の負担が軽減されます。
※通常のインプラントは奥歯にもインプラントを埋め込みます。奥歯周辺には太い神経・血管や上顎洞があり、そこにインプラントを埋め込むためには、神経・血管の移動手術、上顎洞を持ち上げる手術(サイナスリフト)を必要とする場合があります。(上記図1参照)
3. 手術当日に仮歯が入ります。
歯が入るまで何ヶ月も待つ必要はなく、余計な手術をする必要もありません。
つまり治療の回数や期間を極端に短縮できます。
4. 費用の負担も最低限
通常のインプラントは下顎、上顎、各8本位のインプラントを埋め込みます。
オール・オン・フォーなら本数が少ないので費用の負担も最低限に抑えることができます。
5. 最高のクオリティ
上にかぶせる歯を作るときに制作上の自由度が大きいです。
見た目の美しさ、噛み合わせなど最高のクオリティの歯が作成できます。
STEP1 術前:検査と準備
STEP2 当日:インプラントの埋め込み
手術日当日は、インプラントの埋め込みをします。インプラントの治療前には手術に関してきちんと説明を行い、安心して治療を受けていただけるようにしております。インプラント治療は麻酔を行ってから治療するため、痛みを感じずに埋め込みが完了します。
STEP3 当日:休憩
手術後は、しばらく休憩をしていただきます。
STEP4 当日:仮歯を装着
休憩が終わりましたら、術前にあらかじめ作製しておいた仮歯を装着します。手術が終わってから数時間後には装着することが出来ます。
※1日で治療可能ですが、お口の状態によっては仮歯の装着が手術の翌日以降になる場合があります。
STEP5 最終ブリッジの装着
インプラントを埋め込んで、仮歯の状態から約6か月後に、強度と美しさを実現した最終ブリッジと仮歯を好感します。
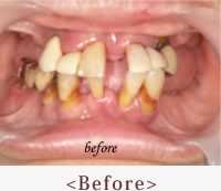
before

After

他院でインプラントを勧められた方には、セカンドオピニオンをお勧めしています。
インプラントは高額な治療です。また、正しい治療方法と治療後のケアやメンテナンスが重要になります。
ご自身がご納得してインプラントを治療されるためにも、当院ではセカンドオピニオンを受け入れております。是非、ご相談ください。
| 診療時間 | 月 | 火 | 水 | 木 | 金 | 土 | 日 | 祝 |
|---|---|---|---|---|---|---|---|---|
| 9:00~12:30 | ● | ● | ● | ● | ● | ● | - | - |
| 14:00~18:00 | ● | ● | ● | ● | - | - | - | - |
| ※金・土は午前のみ | ||||||||